아침정원의원
눌러서 전화걸기
02-476-8965
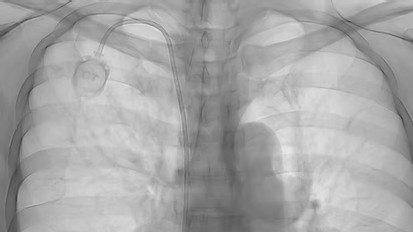
케모포트
항암 치료의 시작

케모포트

중심정맥

중심정맥은 우리 몸에서 심장 가까이에 위치한 굵고 큰 혈관을 말합니다. 이 혈관들은 온몸으로 혈액을 빠르고 넓게 퍼뜨리기 때문에, 약물이나 영양을 효과적으로 전달할 수 있는 중요한 통로입니다.

반복적인 약물 투여는 혈관을 변형시키거나 염증을 일으키고,
약물이 혈관 밖으로 새어나가 합병증을 발생시키는 위험이 있습니다.
이를 방지하기 위해 중심정맥관을 삽입하여
안전하게 항암 약물 요법을 시행할 수 있습니다.

Central Venous Catheter

중심정맥관 종류

Chemoport

케모포트는
언제 사용하나요?

01수주~수개월간 영양 공급이 필요한 경우

02항암치료가 예정되어 있을 경우

03혈관이 약해졌거나, 찾기 어려운 경우

장기치료를 더 편안하고 안전하게

01

주사로 인한 통증 감소

환자가 지속적으로 바늘에 찔리는
통증과 불편함을 줄일 수 있습니다.

02

항암제로 인한 혈관염 예방

항암제가 혈관 밖으로 새어나가
주변 조직과 근육이 손상되거나
작열감 및 자극이 생길 수 있는 위험을 줄여줍니다.

03

지속적인 치료 가능

한 번 삽입하면 수개월~수년간 사용할 수 있어,
치료 과정이 끊기지 않고 계속 이어질 수 있습니다.

04

편리한 일상생활

포트가 피부 밑에 삽입되어 외관상 잘 보이지 않고,
목욕 및 수영도 자유롭게 할 수 있습니다.

케모포트 시술 후, 당일부터 항암치료 가능

아침정원은 서울아산병원, 서울삼성병원,
서울대병원, 세브란스병원 등
주요 대학병원과 협력하고 있습니다.

빠른 치료가 관건인 암치료에서
대학병원과 동일한 시술 방식으로
예약 당일 케모포트 시술을 받으실 수 있습니다.

정교한 봉합으로 통증과 흉터를 줄입니다

스테이플러 봉합이나 과도한 겉땀은
혈류를 방해하고 흉터를 크게 남길 수 있기 때문에
피부 속은 녹는 실로 꼼꼼히 봉합하고
겉은 3~4땀만 꿰매 통증과 흉터를 최소화합니다.

아침정원에서는 최대한 정성스럽게
피부 속을 먼저 봉합하는 시술법으로,
통증 경감 및 흉터 최소화를 도와드리고 있습니다.

M.G. Media

보다 건강한
삶을 위해

YouTube 바로가기 +

아침정원을 선택하는 이유

서울대학교, 서울아산병원 교수 출신 의료진

01

4개의 혈관조영 시술실 대기시간 최소화

02

대학병원급 최신 장비 보유

03

협력병원 전용 창구 원활한 의뢰 및 시술 가능

04

Morning Garden

영상의학과 전문의

혈관 및 장기의 해부학적 구조와
영상 분석에 대한 깊은 이해를 바탕으로,
혈관 질환을 효과적으로 치료합니다.
M.G CLINIC

최소침습 시술

혈관조영장비를 통해
혈관을 실시간으로 확인하며,
치료 부위를 정확하게 파악하고
최소한의 침습으로 시술을 시행합니다.

Morning Garden

Vascular CenterDermatology

위치

서울아산병원 7분거리

천호역 8번출구 1분거리

지하1층~지하7층, 넓고 쾌적한 주차장

주소

서울 강동구 올림픽로 610

천호역효성해링턴타워 1층&2층

혈관센터

월-금 8:30 - 17:30

토요일 8:30 - 13:00

일요일 휴진

피부과

월,화,수 10:00 - 19:00

목,금 10:00 - 20:00 야간진료

토요일 9:30 - 15:00

일요일 휴진