최신으로 유지되는
세계적 장비와
벽부&중앙형
산소공급시스템
당신을 위한 선택
경험의 차이에서 입증되는
탁월한 전문성
인터벤션 치료
0건
안정성
총 방문환자
0명
깊이 들여다보고
길을 찾는 사람들
전체 의사 중
인터벤션 전문의 수
인터벤션 전문의 수
0.3%
장기 이식 수술
암 색전술
외상 수술 등
고난도 시술 참여
아침정원 사람들
0+
신뢰
거대한 숲과 같은 우리 인체는
혈관과 조직들이 촘촘히 뻗어있습니다.
환자의 일상을 최우선으로 생각하는 치료,
지속가능한 건강을 가꿉니다.
Dr.Shin 신익수
Dr.Heo 허준호
Dr.Park 박찬
Dr.Kim 김성호
Dr.Choi 최진석
BEFORE & AFTER끊임없는 연구로 다양하고 어려운 케이스를 해결합니다.
전후사진
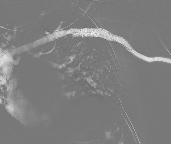
투석혈관 협착,
스텐트삽입술
스텐트삽입술

시술 전

시술 후
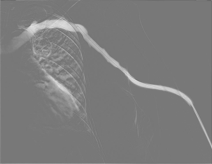
투석중 혈류 저하,
풍선확장술로 회복
풍선확장술로 회복

시술 전

시술 후
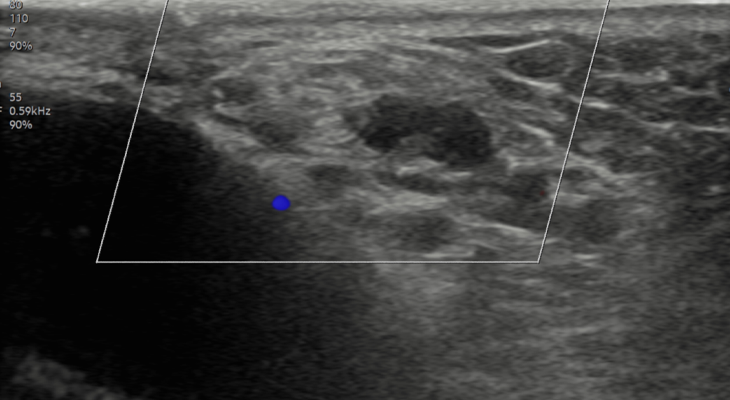
수술 후 재발된
정계정맥류 시술로 재치료
정계정맥류 시술로 재치료

시술 전

시술 후
YOUTUBE아침정원 미디어
쉽고 재밌는 건강정보 및 병원 소식을 소개합니다.Morning Garden
Vascular CenterInterventional Radiology& Vascular Surgery위치
서울아산병원 7분거리
천호역 8번출구 1분거리
지하1층~지하7층, 넓고 쾌적한 주차장
주소
서울 강동구 올림픽로 610
천호역효성해링턴타워 1층&2층
혈관센터
월-금 8:30 - 17:30
토요일 8:30 - 13:00
일요일 휴진



